
Специалисты медицинского центра UTHSC при Университете Теннесси зафиксировали уникальный клинический случай. В их отделение обратился 68-летний пациент с интенсивной болью в правом яичке, сопровождавшейся выраженным отеком паховой области. Выяснилось, что мужчина длительное время не обращался к врачам после перенесенного в прошлом инфаркта.
Неожиданная связь кашля и острой симптоматики
Перед появлением тревожных признаков пациент столкнулся с приступами сильного кашля. Одновременно он отмечал нарастающую одышку, отечность нижних конечностей и дискомфорт в грудной клетке слева. Эти симптомы стали ключевыми для понимания причин возникшего состояния.
Экстренная диагностика и оперативное вмешательство
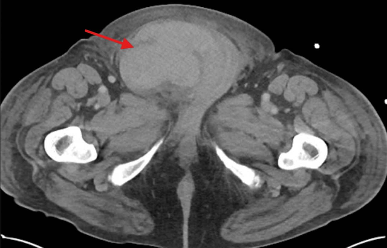
Комплексное обследование, включая КТ, выявило спонтанный разрыв правого яичка с формированием обширной гематомы. В ходе экстренной операции поврежденный орган пришлось удалить из-за массивного кровотечения. Параллельно у пациента диагностировали комплекс кардиологических патологий: декомпенсированную сердечную недостаточность, легочное сердце, аневризму аорты и инфаркт миокарда без подъема сегмента ST.
Успешная реабилитация и медицинские рекомендации
После удаления аневризмы брюшной аорты и курса терапии сердечных нарушений состояние больного стабилизировалось. Через 11 дней он был выписан без признаков послеоперационных осложнений. Врачи подчеркивают: сочетание повышенного артериального давления при кашле и сосудистых нарушений из-за сердечной недостаточности стало главным фактором развития патологии.
Важность своевременной медицинской помощи
Специалисты UTHSC напоминают, что разрыв яичка встречается редко (2,3 случая на 1000 травм), но требует незамедлительного вмешательства. При появлении боли, изменения объема мошонки или гематом в паховой области необходимо срочно обратиться к урологу. Ранняя диагностика помогает сохранить здоровье и предотвратить жизнеугрожающие последствия.
Источник: naked-science.ru






